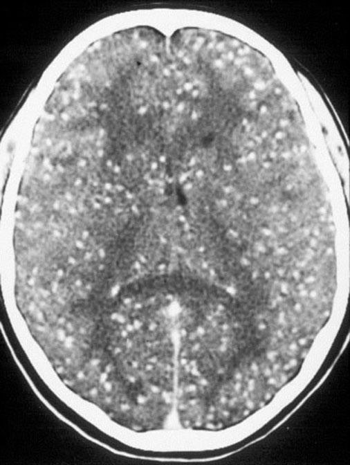
multiople March 15, 2017 506 × 672 AM Report 03/07/17: Neurocysticercosis Multiple cysts. Reference: Medscape Share this: Share on X (Opens in new window) X Share on Facebook (Opens in new window) Facebook Like Loading...