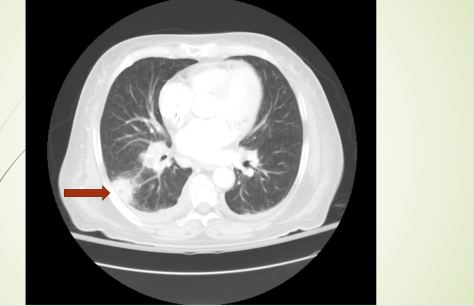
Today Narges presented a case with an elderly, immunocompromised patient with recent travel to Southern California, presenting with several weeks history of cough, night sweats, and generalized malaise, found to have a cavitary lesion in the RLL of the lung. Biopsy revealed C. immitis!










